小児矯正
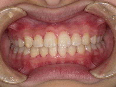
叢生 小児
- アゴの大きさに対して歯が大きい
- 前歯がねじれて生えてきた
叢生 小児
- 右上の永久歯が生えてこない
こちらの患者様は、右上の前歯が生えてこないこと、 また下の前歯がガタガタしているのが気になるとの ことで来院されました。
上下の歯列の拡大と(上下顎:拡大床)、ブラケットを用いて前歯のガタガタの改善を行い ましたが、途中装置が壊れたり、外れてしまったり することもある中で、休むことなくしっかりと装置 を使用して頂いたことで、良好な治療結果が得られ ました!(動的治療期間:11ヶ月、月に一度11回の通院)
これから生え変わりを見ていきます、引き続き装置 の使用頑張ろうね!!
拡大床は、取り外しができるためしっかり使用しないと効果が出ません。先生から指示された、使用時間・使用方法は必ず守ってくださいね!
診断名:Angle's ClassⅠ、Skeletal Class1 叢生歯列
抜歯・非抜歯:非抜歯
治療に伴うリスク:歯ブラシが出来ず汚れが付いたままだと虫歯や歯肉炎が発生してしまう事があります。
治療開始時に低位舌・口呼吸が認められたため、習癖の残る場合に後戻りが生じる可能性があります。
治療費:基本料金37万円、調整料5000円
叢生 上顎前突 小児
- 上の前歯がガタガタしている
- 前歯が出てる気がする
この患者様は、顎を広げる拡大装置(上顎:クワドヘリックス)、さらに上あごの成長を抑えるヘッドギア―の使用と、やることは盛りだくさんでしたが、真面目に使用し続けてくれました。
また、お母様がとても熱心に仕上げ磨きをして下さったこともあり、治療終了時にはムシ歯もなくキレイな状態で装置を外すことが出来ました。
今後も健口の為、検診宜しくお願い致しますね!!
ヘッドギアーは、帽子のような装置で、就寝時に使用して頂きます。寝相が悪いと外れてしまう事もありますが、継続は力なりです!治療が始まったら継続使用して頂きます!!(動的治療期間18カ月:月に一度18回の通院)
診断名:前歯部叢生を伴うAngle's ClassⅡ、Skeletal Class2 骨格性上顎前突症
抜歯・非抜歯:非抜歯
治療に伴うリスク:歯ブラシが出来ず汚れが付いたままだと虫歯や歯肉炎が発生してしまう事があります。
治療開始時に低位舌・口呼吸が認められたため、習癖の残る場合に予測の難しい後戻りが生じる可能性があります。
治療費:基本料金37万円、調整料5000円
叢生 上顎前突 小児
- 前歯が出ている、下の前歯がガタガタしている
この患者様は、下の前歯がデコボコしているのを治したいとのことでしたが、検査をしてみると骨格的な出っ歯さん傾向があったため、夜間に取り外しの出来るバイオネーターを使用し、歯列の拡大と、下アゴの前方への成長を促しました。
お母さまが以前矯正されていたこともあり非常に意識が高く、ご家族皆様で装置の使用に協力してくださいました。
キレイになって良かったね!
これから定期検診で生え変わりを確認していきます、引き続き装置の使用頑張りましょう!!
どんな矯正装置も使用時間が長ければ長いほど効果が高くなります!初めは違和感がありますが、徐々に慣れていきます。(動的治療期間20カ月:月に一度20回の通院)
診断名:Angle's ClassⅡ、Skeletal Class2 骨格性上顎前突症
抜歯・非抜歯:非抜歯
治療に伴うリスク:歯ブラシが出来ず汚れが付いたままだと虫歯や歯肉炎が発生してしまう事があります。
治療開始時に低位舌・口呼吸が認められたため、習癖の残る場合に後戻りが生じる可能性があります。
治療費:基本料金37万円、調整料5000円
叢生 下顎前突 小児
- 前歯が反対に咬んでいる、前歯がねじれている。
この患者様は、前歯のデコボコのせいでうまく歯磨きが出来ないことが一番の悩みでした。
前歯にブラケットを使用して治療を進めましたが、ガタガタを治すのに時間がかかり、前歯が咬みづらい時期もありましたが、特に本人が治したい気持ちが強かったので、治療中の歯ブラシも一生懸命頑張ってくれました。
そのおかげできれいな歯並びとなり、虫歯も一切出来ず素晴らしい状態です!
これからはフロスの使用を頑張って、健康なお口を維持していきましょう!!(動的治療期間12カ月:月に一度12回の通院)
診断名:Angle's ClassⅠ、Skeletal Class1 歯槽性反対咬合
抜歯・非抜歯:非抜歯
治療に伴うリスク:歯ブラシが出来ず汚れが付いたままだと虫歯や歯肉炎が発生してしまう事があります。
予想以上の下顎の成長がある場合、Ⅱ期治療また外科的な処置が必要となる場合があります。
治療費:基本料金37万円、調整料5000円
叢生 下顎前突 小児
- 前歯が反対に咬んでいる
この患者様は、本人はそこまで気にしていなかったのですが、特にお母さまが前歯が反対なのが気になるという事でお越しいただきました。
矯正治療は、本人の頑張りが非常に大切になってくるので、矯正治療を行うとどのようになれるのか、このままだとどうなってしまうのか、ゆっくり話していく中で、本人も治療を行いたい気持ちを持っていただき、最後まで頑張って頂きました。
Ⅰ期治療で上アゴにリンガルアーチを使用し前歯の重なりを改善し、下アゴの成長が落ち着いた段階でⅡ期治療(ラビアルブラケット装置)を行いました。
Ⅰ期治療から治療を始めたこともあり、非常に良好なかみ合わせと横顔を構築されています。
今後の課題は苦手なフロスです!!
生涯自分自身の歯で食事ができるよう、歯ブラシを頑張りましょうね!
お子様の下顎前突の治療は、Ⅰ期治療をすれば安心というわけではありません。Ⅰ期治療終了時では成長がまだ残っているため、下アゴの成長が生じる場合があるためです。しっかりと成長発育が落ち着いた段階で、治療の終了または、第Ⅱ期治療へと移行していきます。(動的治療期間Ⅰ期10か月、Ⅱ期16カ月:月に一度合計約35回の通院)
診断名:Angle's ClassⅠ、Skeletal Class3 骨格性反対咬合
抜歯・非抜歯:非抜歯
治療に伴うリスク:歯ブラシが出来ず汚れが付いたままだと虫歯や歯肉炎が発生してしまう事があります。
口呼吸・低位舌が残る場合、後戻りが生じる場合があります。
治療費:基本料金75万円、調整料5000円
叢生 成人
- 八重歯が気になる、前歯がガタガタしている
この患者様は、八重歯による口元の突出感、下アゴがないことに対してコンプレックスを抱えていらっしゃいました。
昔から矯正に興味はあったけど、装置の見た目が嫌で中々踏み出せずにいたとのことでした。しかしながら、ご自身の将来のお口の健康の事を考え、このままではいけない!ということでご相談にいらしていただきました。
検査の結果、コンプレックスの口元と下アゴを改善するためには、上下あわせて4本の抜歯が必要で、初めは抜歯に抵抗を示されていました。しかしながら歯を抜かずに矯正をすることのリスクが非常に高く、抜歯と非抜歯それぞれのメリット・デメリットを十分に説明させて頂きました。ご相談の末、コンプレックスを治したい、歯にとって一番安全な治療を行いたいという患者様の意向で抜歯を行うこととなり、非常に美しい横顔と口元、後方に下がっていた下アゴも治療を通して前方に突出し、患者様も私も大変満足な治療結果が得られました。
中々歯ブラシと歯間ブラシが苦手でしたが、患者様に根気強く歯ブラシの仕方をさせて頂いたこともあってか、今では歯ブラシが楽しくなったとのこと!こんな嬉しいことはありません!
今はお子様も生まれ、一生懸命の歯ブラシ指導をされてるみたいです!
これからもご自身の歯、お子様の歯を大事にして頂き、生涯ご自身の歯で食事ができるよう歯ブラシ・定期検診よろしくお願いいたします!!(動的治療期間24カ月:月に約1回、合計22回の通院)
この患者様は、矯正用アンカースクリューを用いて、抜歯スペースの閉鎖を行いました。矯正用アンカースクリューは、1度埋入しても、脱落する可能性があります。その場合は場所を変更して再度埋入します。
診断名:Angle's ClassⅡ、Skeletal Class1 叢生歯列
抜歯・非抜歯:抜歯(上下第1小臼歯)
治療に伴うリスク:歯肉退縮・歯根の短くなる歯根吸収が生じる可能性があります。
治療開始時に低位舌・口呼吸が認められたため、習癖の残る場合に後戻りが生じる可能性があります。
治療費:基本料金76万円、矯正用アンカースクリュー料金6万円、調整料5000円
叢生 成人
- 前歯がガタガタ、歯ブラシがしづらい
この患者様は、初診相談でお話を聞いたときから、歯科医院に対して恐怖心が強くあり、特に痛みには非常に恐怖をお持ちでした。
そのため、出来る限り痛みの少ないよう、また治療期間を短縮できるように心がけました。
最後まで歯ブラシも一生懸命頑張って頂き、横顔もとても上品になり、素晴らしい治療結果が得られ、患者様にも満足して頂けました。
何よりも、歯医者に対しての恐怖心が少なくなったことは嬉しいです!!
引き続き、これからも歯を大事にしましょうね!
矯正治療によって、この患者様の前歯のように歯肉退縮が生じる場合があります。治療を始める年齢や、過度な矯正の力によって生じるリスクが高まります。当院で使用する矯正用のワイヤーは非常に弱い力のものを使用しています。出来る限り歯肉退縮のリスクを軽減を図っていますが、歯肉退縮が生じる場合もあります。(動的治療期間32カ月:月に約1度、合計30回の通院)
診断名:開咬を伴うAngle's ClassⅠ、Skeletal Class1 叢生歯列
抜歯・非抜歯:抜歯(上下第1小臼歯)
治療費:基本料金78万円、矯正用アンカースクリュー料金6万円、調整料5000円
叢生 上下顎前突症 成人
- 前歯のガタガタが気になる。
こちらの患者様は、前歯のガタガタを治したいという事で矯正治療を希望されていました。
ガタガタの量が多く、上下の前歯が前方に突出したこともあり改善の為に4本抜歯し、得られたスペースを利用して治療を行いました。
もともと素敵な笑顔だったのですが、矯正治療を通してさらに笑顔が素敵になりました!ナイススマイル!!
歯ブラシの仕方も非常に上手で、治療終了時には虫歯も出来ず非常に良好な咬み合わせを構築することが出来ました。
現在リテーナーを使用中です。引き続き後戻りが起きないよう、リテーナーの使用頑張りましょう!
抜歯矯正治療は、舌癖(間違った舌の癖)が存在すると、リテーナーの使用をやめたとたん、抜歯スペースが空いてきてしまうことがあります。そのためリテーナーの使用はもちろんのこと、MFTを通して舌癖の改善を行う必要があります(MFT:舌や口回りの筋肉の筋トレ)。(動的治療期間26カ月:月に一度、合計26回の通院)
診断名:Angle's ClassⅡ、Skeletal Class1 叢生歯列
抜歯・非抜歯:抜歯(上下第1小臼歯)
治療に伴うリスク:歯ブラシが出来ず汚れが付いたままだと虫歯や歯肉炎が発生してしまう事があります。
治療費:基本料金76万円、調整料5000円
叢生 上下顎前突 成人
- 歯がデコボコしている。口が閉じづらい。
こちらの患者様は、とにかく口が閉じづらいから何とかして欲しいとのことでした。
治療に対して非常に前向きで、装置に着けるゴムを季節の応じてカラフルなものにしたり、歯ブラシは歯間ブラシだけでなく、自作のフロスを作成し使用していたり、矯正治療自体を楽しんで頂けていたように思います。
磨きづらいところも丁寧に磨くことが出来ていたため、治療が終わっても虫歯も歯肉炎のない、素晴らしい横顔、かみ合わせを構築することが出来ました。
『口も閉じやすくなったし、写真で撮った時の横顔が全然違う!』大喜びをして頂けました。
引き続き、矯正治療を通して学んだ歯ブラシの仕方を生かしてください! 生涯自分自身の歯でご飯が食べられるよう、定期検診お待ちしてます!!(動的治療期間30カ月:月に一度、合計30回の通院)
ラビアル矯正治療中、カレーやコーヒーなど色素の強いものを摂取すると、ワイヤーを縛っているゴムが黄ばむことで変色します。そのため、ゴムの色をそもそも変色しづらいカラーゴムにするのも大人気です!カラーゴムは無料でお選びいただけます!
診断名:Angle's ClassⅠ、Skeletal Class1 歯槽性上顎前突症
抜歯・非抜歯:抜歯(上下第1小臼歯)
治療に伴うリスク:歯ブラシが出来ず汚れが付いたままだと虫歯や歯肉炎が発生してしまう事があります。
治療開始時に低位舌・口呼吸が認められたため、習癖の残る場合に後戻りが生じる可能性があります。
治療費:基本料金76万円、調整料5000円
叢生 上顎前突 成人
- 前歯が出ているのが気になる
こちらの患者様は、前歯が出ているのが気になる。唇を噛んでしまうという事が気になるとのことでした。
もともと虫歯が非常に多く、矯正治療の前にまずは虫歯治療でした。また矯正治療中は装置が付くので、今まで以上に歯ブラシが重要になること、歯間ブラシの使用など今まで以上に歯ブラシが大変になることを入念に説明させて頂きました。
装置が付いてからも、なかなか汚れが取れていないことも多く、
『矯正治療をして歯がキレイになっても、虫歯で歯がボロボロだったら意味がないよね?それだと何のために矯正治療をやったのかわからないよね?』と何度も何度もお話をさせて頂きました。
患者様がとても素直で、私のしつこい歯磨き指導(笑)にいつも真剣に聞いて頂き、途中虫歯になりかけた歯もありましたが、治療が進む中で、歯磨きを頑張るようになって頂き、最終的には初期の虫歯の部分も、進行せず、キレイなかみ合わせを構築できました。
矯正治療が終わっても、引き続きこれまで学んだ歯ブラシの仕方を生かして歯を大事にしてくださいね!
矯正装置は、装着すると歯ブラシがしづらくなります。そのため、医院で指導された歯磨きの仕方(歯ブラシの当て方、歯間ブラシ・ワンタフトブラシの使用)が出来ないと虫歯のリスクが高くなってしまいます。治療が終わった時、より良い状態となるために丁寧な歯ブラシは必須です!!(動的治療期間20カ月:月に一度、合計20回の通院)
診断名:Angle's ClassⅡ、Skeletal Class2 骨格性上顎前突症
抜歯・非抜歯:非抜歯
治療に伴うリスク:歯ブラシが出来ず汚れが付いたままだと虫歯や歯肉炎が発生してしまう事があります。
治療費:基本料金72万円、調整料5000円
下顎前突 成人
- 前歯が反対に咬んでいる、咬みづらい。
この患者様は、学生時代から矯正治療に興味はあったけど中々踏み出せずにいましたが、やっぱり食事がしづらいのを治したという事で矯正治療を始められました。
予定よりも歯の動きが悪く、当初の治療予定より治療期間が大幅に(約1年)伸びてしまいました。
それにもかかわらず、月に1回の矯正治療に一度も休むことなく、歯ブラシも一生懸命行ってくれたこともあり、非常に健康的で素晴らしいかみ合わせを構築することが出来ました。
人前で自信をもって笑えるようになったこと、前歯で噛み切ることが出来食事をしやすくなったことは、患者様の幸せに貢献できたのかなと、私としても本当にうれしく思います。
引き続き、生涯歯を大切にしていきましょう!!
年齢を重ねることで、骨が硬くなり、歯の動きが非常に遅くなってしまう患者様がいらっしゃいます。そういう場合治療期間が予測より大幅に長くなる場合があります。(動的治療期間40カ月:月に一度、合計40回の通院)
診断名:Angle's ClassⅢ、Skeletal Class3 骨格性反対咬合
抜歯・非抜歯:抜歯(上第2小臼歯、下第1小臼歯)
治療に伴うリスク:矯正治療に伴う歯牙移動によって歯肉退縮が生じる可能性があります。
治療費:基本料金76万円、調整料5000円
叢生 犬歯埋伏 成人
- 永久歯が1本出てこない。前歯がガタガタしている。
この患者様は、右上の犬歯が生えてこず、治療の途中で歯肉 (はぐき) を開いて、外科的に骨を削ってから歯を引っ張りだす開窓・牽引を行う予定でした。しかしながら治療の途中で幸運にも、歯が出てきてくれたため特に外科的な処置は必要なくなり、患者様と一緒に喜びあったのを覚えています。その後、ブラケット装置にて治療を進め、健康なかみ合わせを構築しました。
現在大学生で、司法の勉強に励んでいるとのこと。
今後も生涯美味しいご飯が食べられるよう、健口を築いていきましょうね!!(動的治療期間25カ月:月に一度、合計25回の通院)
診断名:Angle's ClassⅡ、Skeletal Class1 歯槽性上顎前突症
抜歯・非抜歯:非抜歯
治療に伴うリスク:歯ブラシが出来ず汚れが付いたままだと虫歯や歯肉炎が発生してしまう事があります。
治療費:基本料金73万円、調整料5000円
空隙歯列 成人
- 女性 前歯に隙間が空いている。マウスピース矯正希望
こちらの患者様は、下の前歯の隙間が気になるという事で矯正治療を希望され、下の前歯の隙間だけを治して欲しい、また、装置は出来るだけ目立ちたくないとのことでした。下顎のみのマウスピース矯正を行いました。
取り外しの出来る装置でしたが、治したい一心で一生懸命装置を使用して頂けたこともあり、治療期間は当初の予定よりも早く終わることが出来ました。
キレイになって本当に良かったですね!!リテーナーの使用頑張りましょう!!
マウスピース型カスタム矯正は様々な種類がありますが、すべてのマウスピース型矯正治療に共通して言えることは、使用を徹底することです!治療結果を左右するのは、マウスピースがどれだけ歯列に適合しているかであるため、使用時間は1日最低20時間、理想は22時間です。また適合性をよりよくするため、当院の患者様にはアライナーチューイの使用、割りばしをしっかり咬むことをお願いしております。(動的治療期間12カ月:月に一度12回の通院)
診断名:下顎左側中切歯先天欠如を伴うAngle's ClassⅠ、Skeletal Class1 空隙歯列弓
抜歯・非抜歯:非抜歯
治療に伴うリスク:歯ブラシが出来ず汚れが付いたままだと虫歯や歯肉炎が発生してしまう事があります。特にアタッチメントやリンガルボタン周囲は汚れがたまりやすいので丁寧に磨く必要があります。
治療費:基本料金40万円、調整料5000円











こちらの患者様は、前歯のデコボコが気になるとの事で来院されました。固定式の小児矯正装置のを使用し(上顎:急速拡大装置、下顎:バイヘリックス)、上下のアゴを拡大した後、前歯にブラケットを装着しデコボコを改善しました。治療期間は13カ月(月に一度13回通院)で、当初の予定通りに治療は進み、お母さまに大変喜んでいただけました。現在、下の小臼歯(6歳臼歯の一つ手前の歯)のねじれをブラケットを使用し改善しています。何とかⅠ期治療だけで終えられるよう、まだ気が抜けない状況です!後戻りが起きないように、リテーナーの使用頑張ろうね!
診断名:Angle's ClassⅠ、Skeletal Class1 叢生歯列
抜歯・非抜歯:非抜歯
治療に伴うリスク:歯ブラシが出来ず汚れが付いたままだと虫歯や歯肉炎が発生してしまう事があります。
治療費:基本料金36万円、調整料5000円